Browse the Catalogue
Member's Network
Courses
Login
Catalogue Sub Index
Capital - AO/OTA 31Cx
Browse published Cases below
Filter by Category
Scapula - AO/OTA 14
Clavicle - AO/OTA 15
Humerus - AO/OTA 1x
Radius - AO/OTA 2Rx
Ulna - AO/OTA 2Ux
Hand - AO/OTA 7x
Femur - AO/OTA 3x
Patella - AO/OTA 34
Tibia - AO/OTA 4x
Fibula - AO/OTA 4Fx
Malleolus - AO/OTA 44
Foot - AO/OTA 8x
Pelvis - AO/OTA 6x
Spine - AO/OTA 5x
Paediatric - PCCF
Periprosthetic - UCPF
Staged Recon
Soft Tissue Recon
My Worst Case
Filter by Surgeon
Guest User
MD Bilal
Dr Ed Oates
DURAN CAN MUSLU
Benedikt Abels
Felix Aguilar
Dr. Edward Oates
Juan Varela
Paula Beck
NITIN DESHMUKH
Antje Brameyer
Rob Dewar
haitham elawadlly
Bruno Ramos Diogo
Spencer Schulte
Seçkin Doğan
Juan García Navarro
Suhirad Khokhar
Miles L Singer
Dᴀᴠe Bᴇɴɴᴇᴛᴛ MD 🌵FAAOS
Renato Zaffalon
Suhaib
Vivek P S
Dr. Jalil Emad
Darren McCusker
BEJOY P GEORGE
Jonathan Daniel Joiner
samer amhaz escanlar
Roberto casin Bricio
Jose Manuel Morales Gonzalez
Piyush B Desai
Dr. Prateek Joshi
Shoaib Javaid
Heidi Smith
Plexus Ortho Exam Corner
Erlena (Lena) Josifi, MD
Mazhar Rafique
Murali Krishna Sayana
Sean E. Sitton, MD
Daniel B. Chan, MD
Antonio Valcárcel
orthopaedic_trauma
Bhalchandra
Ortopedist
Oday
Andres Sanchez
joseph john
mohmmedelfatih Gobara
Akbar Nawaz Syed
Mohamed
Yas 19e
Waleed Kishta
Livingston
Piers Page
Vishesh.Mongia
Noufal S
Eduardo Noboa
Edgar Barros Prieto
NeoMan
James Messina
Dr Dhirendra
Vinay Jc
Dr Raghavendra
Lyndon Mason
Neel
mohamed eldanfour
5ft0rtho
Yunus
Cubitus Mundi
Michael Dirkx
Tehmasp Rehman
Muhammad
Francisco Garcia Navas
Alan Arvizu
Mohamed A. Imam
Vikas Rao
Satish Reddy
abraham
Bassey
Tomas Martínez Quintana
Joshua Hattaway
Saleh Ahmad
Patrick
Abulaban
Mohammad
AHMETK
Bassem
Jhon Perez Casado
Alex
jbrontey
Karan Shetty
Nicholas Colyvas MD
Oslo Knee Doc
Home Laptop
khadir khan
Abuzar Inayat
Isaac
Imtiyaz
Alper
Jesus Castellano
Jesus Andres Silva
Javier Cabrera
raulmena97
Diego
Reuben M
Rachid ARRAKI
Balamurugan J
Rizwan
Ayed
Natasha
Fadi Bouri
vrsujit kumar
David Bennett
MarceloAlves
Marco Antonio Rocha Afonso
Krzysztof Janik
David H Chafey, MD
World of Wrist
Marouane Bouloudhnine
Vincenzo Lorusso
Ashwanth Ramesh
Salmanorth.o
Vinícius S. Couto
LUIS LEONCIO TEMOCHE DIAZ
Julia Rehme
Mparv
Rafael Otero
Tom Hester
Arif Baradia
Will
For U
Shaik Mahmood
Aliaksandr Botvin
Dr.B
kristina_muc
Haluk Yaka
Jpgibbo
Mauro Bettani
Vishwanath pratap Singh
Antonio Castillo
Geoffrey
George Fidias
Kumar Rohit
Fren9123
Alexander Tapio Mameghani
Matthew Quinn
Josep M Muñoz Vives
Peter Taylor
Mohamed Said
Shijina K
anselmo alegria
Kim Putnamescu
Basit
Ed
Reza
Karoline
LinkedIn
Gareth Stables
Harman Khatkar
Ahmed mohamed
Sakurai Ria
monika gupta
TANER
Ivan
Victor Alvarez Fernandez
Haseeb Gani
Mans
Metwally
Delegate Login 2023
Tabish
Talal Alraw
Mark B
Kiran patel
Florian Hagen
Rodolfo Duran Ciarrochi
Heilwig Fischer
Brynja Kristín Einarsdóttir
faisal
Esteban Juarez
Dr Alamgir Khan
Galal Elfatarny
Sajeev Parajuli
Akram
Hassan Eltagy
Alfred-John Bayaton
Richard Jamieson
Taimur
Amr Elbahi
ibrahim haidar
sulthan Mohamed Ibrahim
bonesjones35
PARKAVIYAN
4340 mubeen ahmad
rkim
Pujan Pant
Amer Alharbi
Rasulghm
Sarthy
Mohamed Almor
Parmvir Deo
abdul khalid
Sultan Batayyib
matthieu cotte
TAguirre
CoursePro HKS
Hatim Ali
Kevin Lechuga
Dr Biplabi
Ahmed Abulmagd
Yacine Ouslim
Mina
prasath
Anas Malkawi
Sshep
gianni negretti
Ali
CASEBASED
Douglass Tucker
Erik Mayer
Khaled
Nasser Abdullah
Ramsey Albawab
parthasaradhi gajula
Arun Upreti
Hesham Mahmoud0412
benlahcene salah
Ghiath Ismayl
Salar Ahmed
KIRANBHAI
Qaalid Said
maximilian2305
Dr Nagacharan Gowda
Hugo Parra
Huzaifa
Erwin Zoleta
Treva
Mehmet Melih Gümüşgöz
Mohamed Selim
Ammar
S. Majid Aghamiri Sh.
Husamettin Cakici
marklouiemd
alexdavid
Troy
basheer aqlan
bunyamin yucel
王海
Abhinav Sharma
Shamel
Markus Kristiansen
Ahmad Joumah
Matěj Markvart
Mahmoud Ezzat
Mohamed Esawy
islem mokeddem
Steve Parry
Riyadh
Hillary Kandie
Gf Gh
Simmo Tõnisson
Anand B
Vivaan Kapoor
Rodel
Arne
Jason
salvador
Kunal Nune
ragul muruga
Vishwanath Mahadevuni
Alexey
Htet
Thomas Morscher
Dr. Luis Alberto Buendia Saavedra
Jason
Youssef
DrLCK
paulmall111
Soliman
PIERO GIANINO GADEA
Audai Khalaf
Ahmed
Maurits Graafland
Gopikrishnan Rajeev
SELÇUK ŞEN
apasquinelly
Krishnamoorthi Chinnasamy
Pandiyan loganathan
Atef Al Rubaie
Mohamed
Tufikifa Nakale
Panagiotis Poulios
sedj amine
Nidal
Adnan
mico_sp
Tom jim
David Zbrojkiewicz
Nur Nurbhai
Edmundo Montalván Hernández
Massimiliano Carrozzo
Pawel
Gerardo Amilivia
Soner
Chip Routt
Mostafa Elabd
ashif suthar
Hillary
Santiago Merino
jen
MED
Kervin Darius
Turkson Ephraim
Ruben Condo
Juan Antonio Farfan Lara
S. Jazra
Xoan
Dr Mari
Alexander Selsky
Abdirizak abdulahi Galleir
John Maunder
Thomas Morscher
Tuğrul Okur
Paula
Arion Alexopoulos
Bernard
pox got
Tarik Islamov
John
Find Now
Top Rated
Oldest
Newest
Aug 05 2025
By orthopaedic_trauma
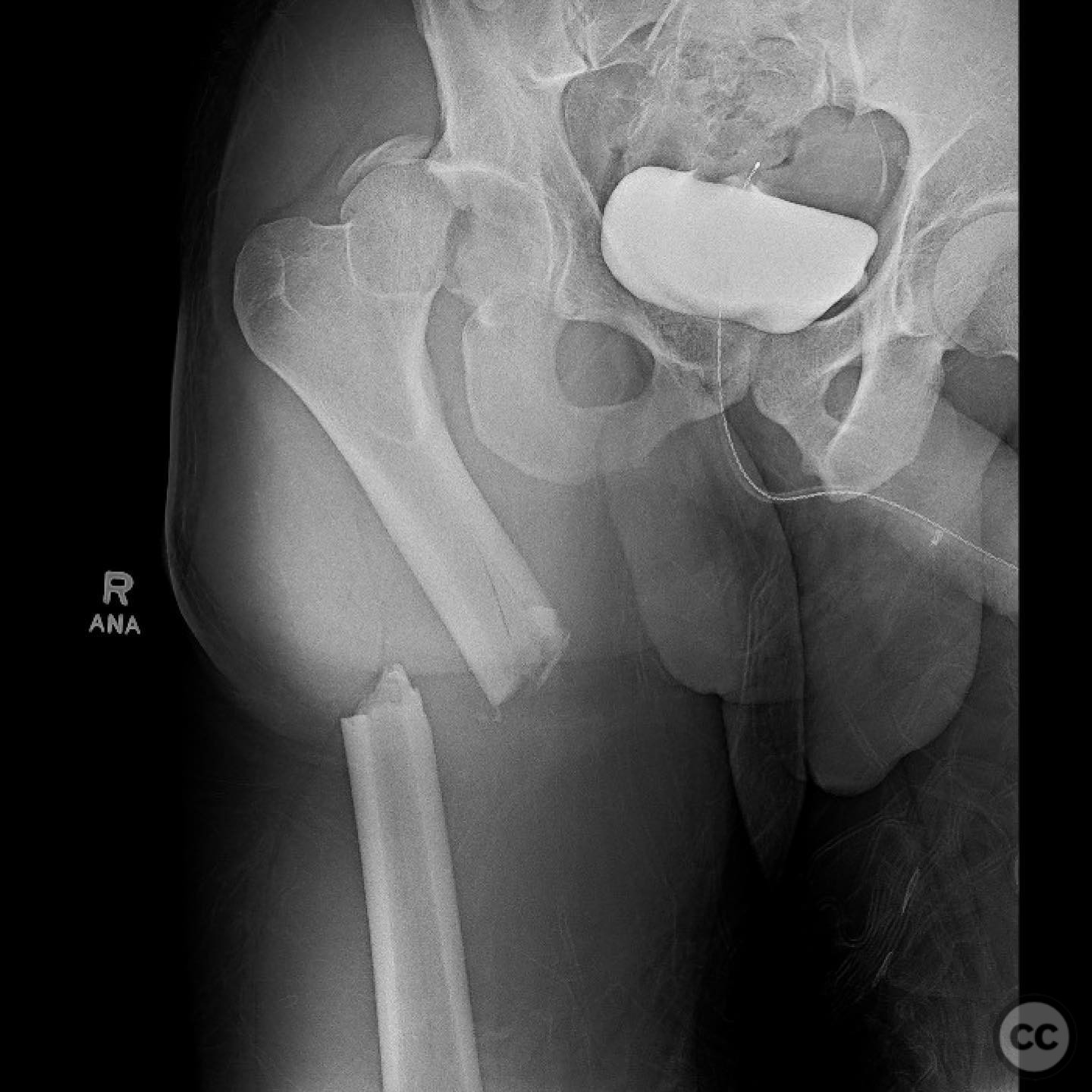
Pipkin IV Femoral Head Fracture with Ace...
Seattle, United States
Femur - AO/OTA 3x
Jul 26 2025
By orthopaedic_trauma
Percutaneous Fixation of Displaced Femor...
Seattle, United States
Femur - AO/OTA 3x
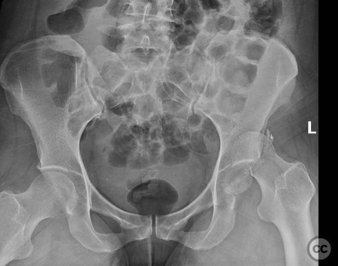
Jul 21 2025
By orthopaedic_trauma
Displaced Comminuted Subcapital Femoral...
Seattle, United States
Femur - AO/OTA 3x
Jul 21 2025
By orthopaedic_trauma
Circumferentially Comminuted Femoral Nec...
Seattle, United States
Femur - AO/OTA 3x
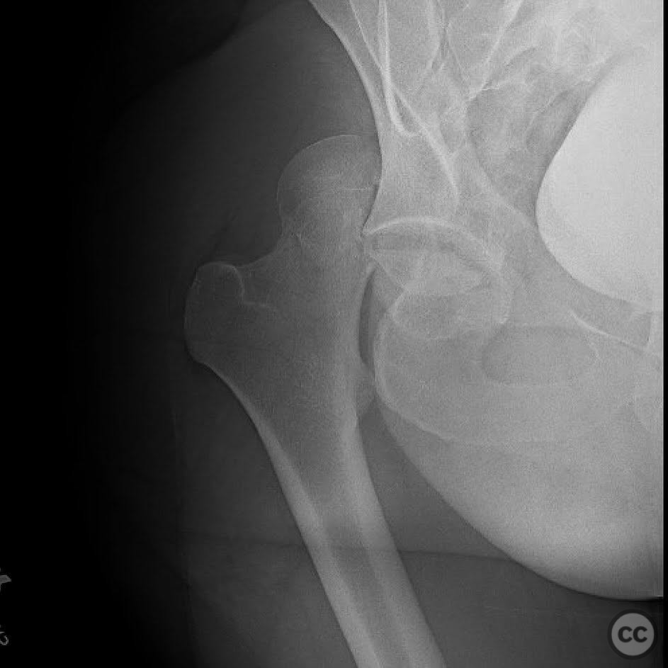
Jul 16 2025
By orthopaedic_trauma
Pipkin IV Femoral Head Fracture Dislocat...
Seattle, United States
Femur - AO/OTA 3x
Jul 14 2025
By orthopaedic_trauma
Pipkin IV Femoral Head Fracture with Pos...
Seattle, United States
Femur - AO/OTA 3x
Jul 13 2025
By orthopaedic_trauma
Pipkin IV Femoral Head Fracture with Fem...
Seattle, United States
Femur - AO/OTA 3x
Jul 10 2025
By orthopaedic_trauma
Pipkin Type III Femoral Head and Neck Fr...
Seattle, United States
Femur - AO/OTA 3x
Mar 31 2023
By Seçkin Doğan
Femoral head Pipkin type 1 - earthquake...
türkiye, Turkey
Femur - AO/OTA 3x
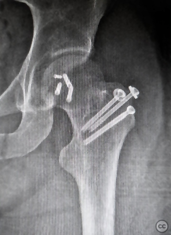
Nov 27 2022
By orthopaedic_trauma
Pipkin 2 + cranial peripheral acetabular...
Seattle, United States
Femur - AO/OTA 3x
Nov 21 2022
By Daniel B. Chan, MD
Femoral Head Fracture (Pipkin II) Treate...
, United States
Femur - AO/OTA 3x