Article viewed 417 times

12 Sep 2025
Add to Bookmarks


 

Sequential Reduction and Grafting of Comminuted Acetabular Fracture


Score and Comment on this Case

Select a Score out of 10, and add a comment in the field below

Respectfully consider international variabilty in surgical technique and implants when commenting.
Protected by reCAPTCHA - Privacy and Terms


Clinical Details

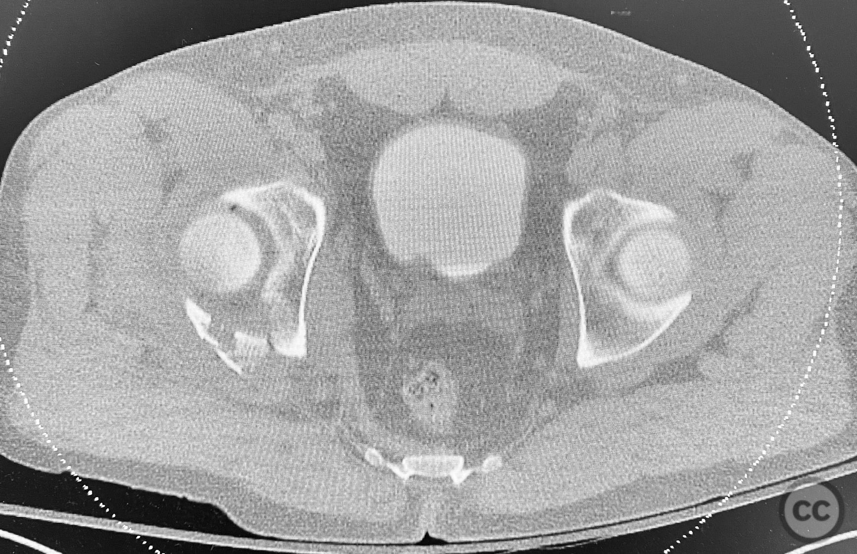
Clinical and radiological findings:  The patient sustained a comminuted acetabular fracture with multiple chondrocancellous articular fragments. The injury pattern is consistent with an AO/OTA 62-B3 (both column) acetabular fracture. Initial radiographs and computed tomography demonstrated displaced intra-articular fragments with associated segmental bone loss and wall involvement. No neurovascular compromise was documented.

Preoperative Plan

Planning remarks:  The preoperative plan involved an extensile approach to the acetabulum, with the intention to carefully extract all chondrocancellous fragments for ex vivo cleansing, followed by dense packing of allograft bone grit into metaphyseal defects to support articular reconstruction. Sequential reduction of articular fragments was planned, followed by reduction and fixation of the acetabular wall using plate osteosynthesis.

Surgical Discussion

Operative remarks: 

All chondrocancellous fragments were meticulously removed from the wound and cleansed of hematoma and debris. Dense allograft bone grit was packed into metaphyseal defects to provide subchondral support. Each articular fragment was anatomically reduced and provisionally stabilized. The posterior wall was then reduced and definitive fixation achieved using contoured reconstruction plates. Attention was paid to restoring the congruity of the acetabular dome and maintaining anatomic reduction throughout the sequence.

Postoperative protocol:   Postoperatively, toe-touch weight bearing was instituted for 8 weeks, with passive and active-assisted range of motion exercises initiated on postoperative day one. Progression to partial weight bearing at 8 weeks, with full weight bearing as tolerated after radiographic evidence of healing.

Follow up:   Not specified

Orthopaedic implants used:   Contoured reconstruction plate(s), allograft bone grit

Search for Related Literature

Powered by OrthoSearch - The British Editorial Society of Bone & Joint Surgery


#

Chip Routt

  • United States , Texas
  • Area of Specialty - Pelvis
  • Position - Specialist Consultant
#
Industry Sponsership

contact us for advertising opportunities


Peer Review Score

Average Score based on 0 reviews