Article viewed 180 times

12 Sep 2025
Add to Bookmarks


 

Open Comminuted Iliac Wing Fracture with Associated Polytrauma


Score and Comment on this Case

Select a Score out of 10, and add a comment in the field below

Respectfully consider international variabilty in surgical technique and implants when commenting.
Protected by reCAPTCHA - Privacy and Terms


Clinical Details

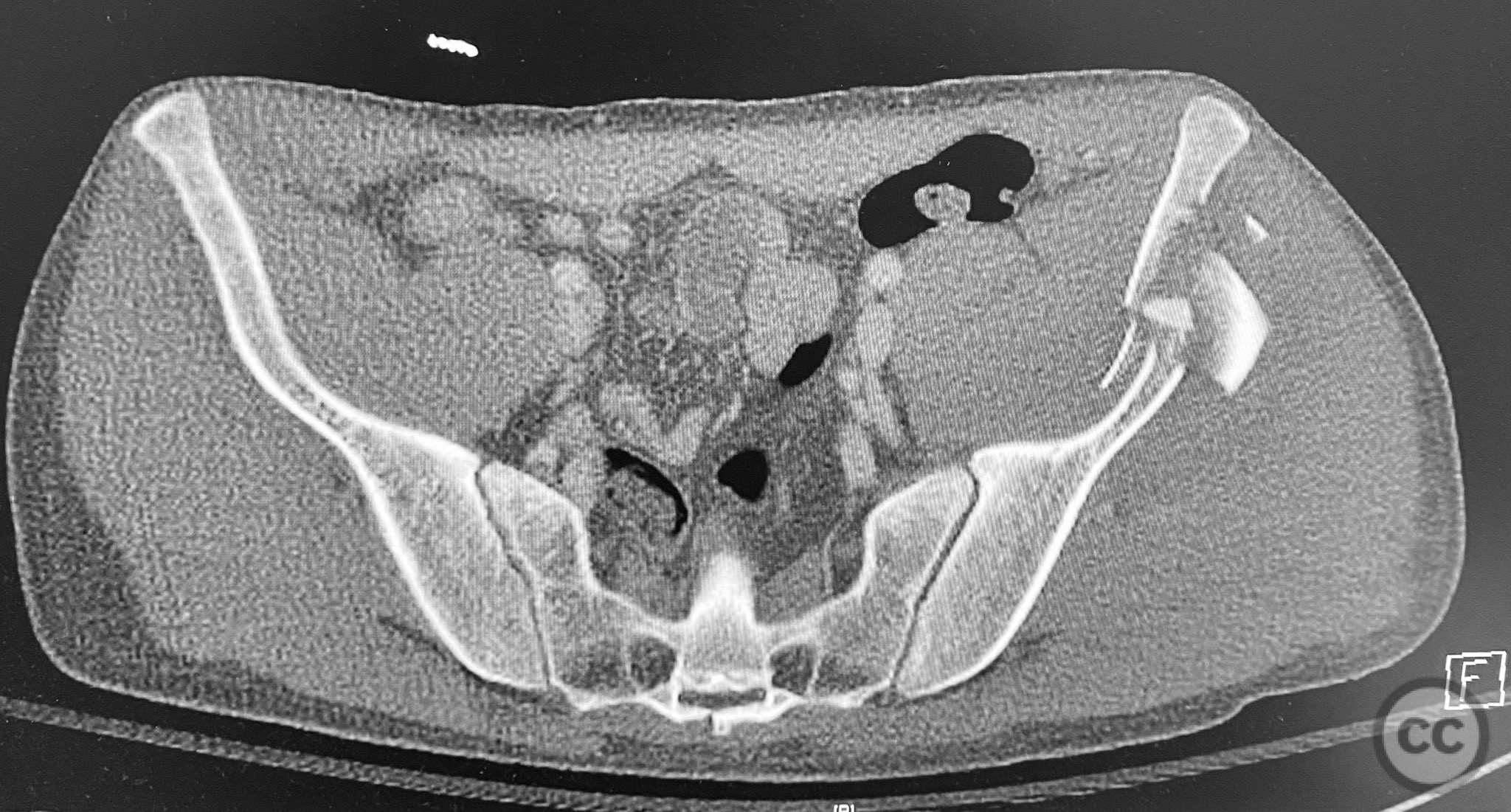
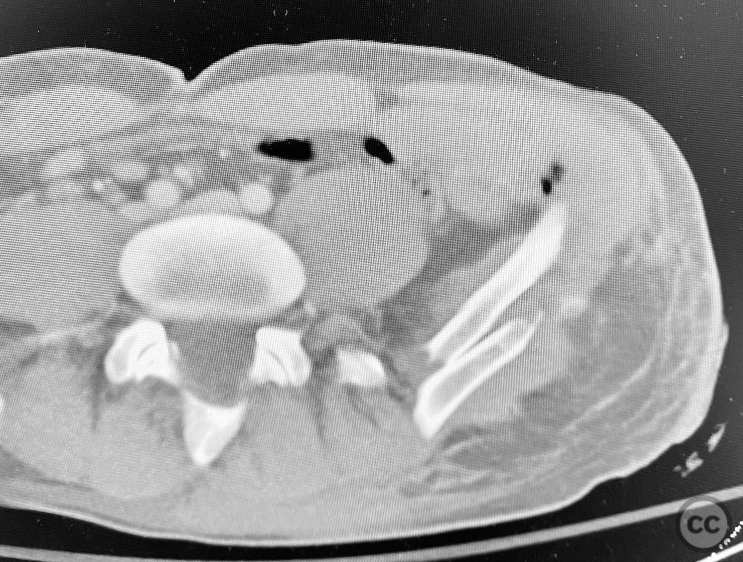
Clinical and radiological findings:  A patient sustained a high-energy injury resulting in an open, comminuted fracture of the iliac wing, sparing the pelvic ring. Associated injuries included spine, rib, and femur fractures. Initial radiographs and axial CT imaging demonstrated significant comminution of the iliac wing with intraosseous air densities indicative of an open wound. No pelvic ring disruption was identified. AO/OTA classification: 61-A2. The presence of multiple associated injuries is consistent with a direct lateral load mechanism.

Preoperative Plan

Planning remarks:  The preoperative plan included emergent irrigation and debridement of the traumatic open wound, followed by anatomical exposure of the iliac wing for further irrigation and debridement. Fracture stabilization was planned using lag screw fixation between the iliac cortices to minimize implant prominence and reduce infection risk.

Surgical Discussion

Patient positioning:  The patient was positioned supine on a radiolucent table to facilitate access to the hemipelvis and allow for intraoperative imaging.

Anatomical surgical approach:  A direct lateral approach to the os ilium was performed, with incision centered over the iliac crest. Subperiosteal dissection was carried down to expose the fractured segments of the ala ossis ilii. The open wound was incorporated into the exposure for thorough irrigation and debridement. Fracture fragments were anatomically reduced and stabilized with interfragmentary lag screws placed between the inner and outer tables of the ilium.

Operative remarks: 

The comminuted nature of the fracture required careful sequential reduction of multiple small fragments. Given the open nature of the injury and risk of contamination, meticulous irrigation and debridement were performed both through the traumatic wound and via surgical exposure. Lag screw fixation was selected to minimize hardware prominence and reduce surface area for potential infection. The traumatic wound was closed primarily with sutures due to satisfactory soft tissue condition; surgical incisions were closed in layers over drains.

Postoperative protocol:   Early mobilization with protected weight bearing as tolerated was initiated postoperatively. Hip range of motion exercises were commenced immediately, with progression to full weight bearing as radiographic healing permitted.

Follow up:   Not specified

Orthopaedic implants used:   4.5mm cortical lag screws, 3.5mm cortical lag screws

Search for Related Literature

Powered by OrthoSearch - The British Editorial Society of Bone & Joint Surgery


#

Chip Routt

  • United States , Texas
  • Area of Specialty - Pelvis
  • Position - Specialist Consultant
#
Industry Sponsership

contact us for advertising opportunities


Peer Review Score

Average Score based on 0 reviews