Article viewed 602 times

12 Sep 2025
Add to Bookmarks


 

Posterior Wall Acetabular Fracture-Dislocation with Cranial Lateral Impaction and Failed Closed Reduction


Score and Comment on this Case

Select a Score out of 10, and add a comment in the field below

Respectfully consider international variabilty in surgical technique and implants when commenting.
Protected by reCAPTCHA - Privacy and Terms


Clinical Details

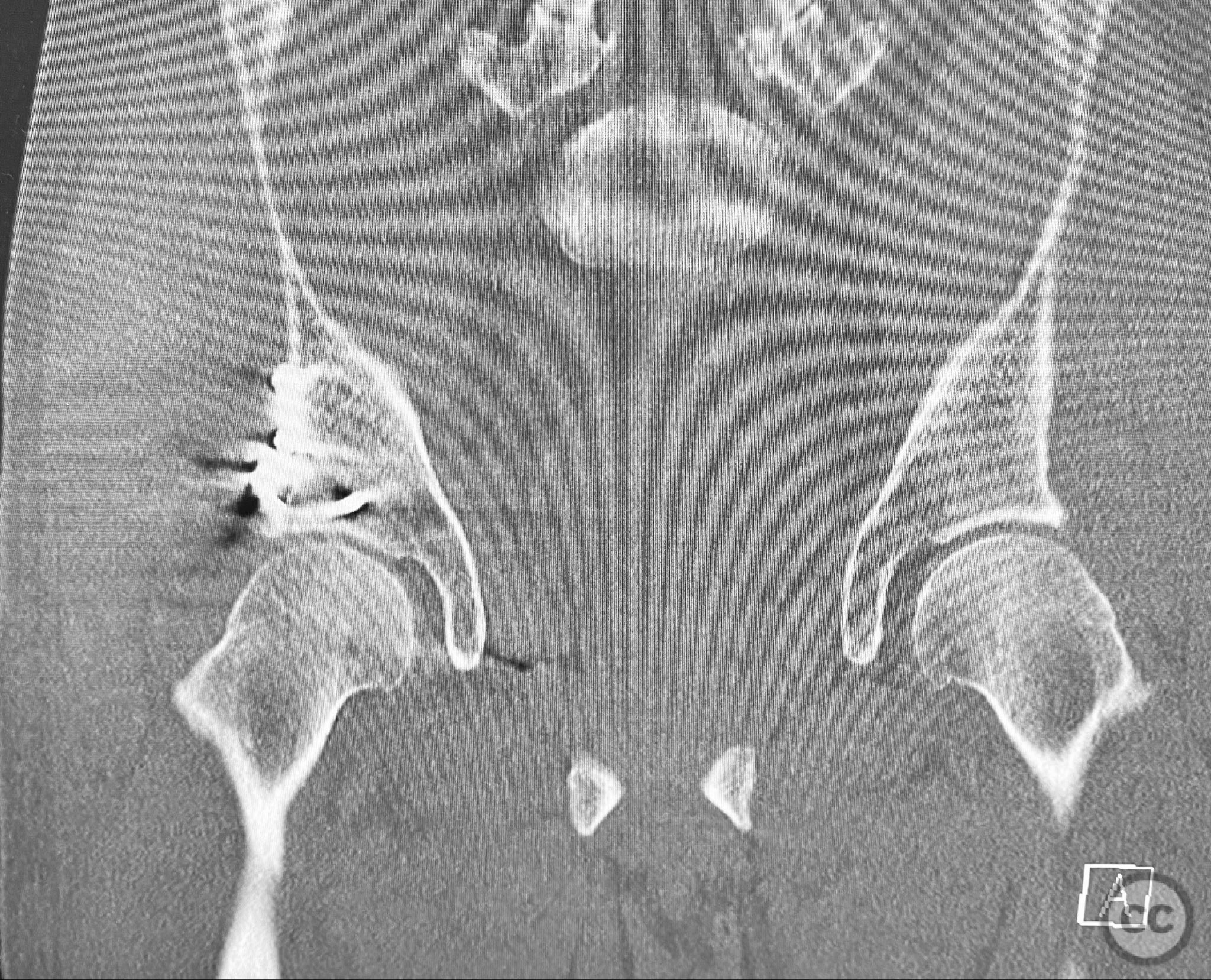
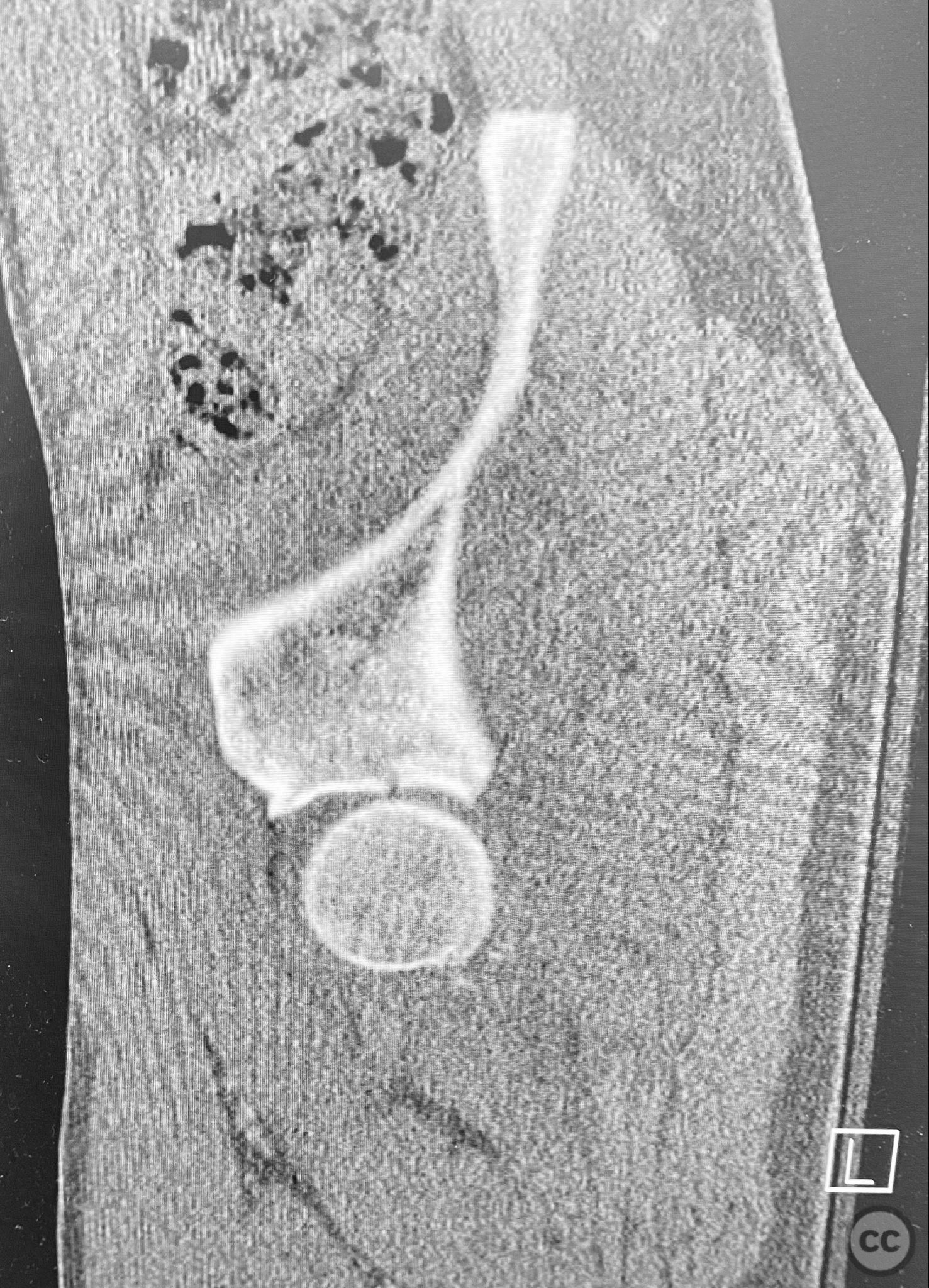
Clinical and radiological findings:  A middle-aged patient sustained a posterior wall acetabular fracture-dislocation, as demonstrated on initial AP pelvic radiograph. The film revealed a sizeable posterior wall fragment, cranial lateral impaction of the acetabular dome, and subtle deformation of the femoral head contour. Neurovascular examination was performed, including assessment of distal pulses and sciatic nerve function. The ipsilateral knee and anterior chest were examined for associated injuries (including possible knee ligamentous injury and thoracic trauma). An initial attempt at closed reduction under sedation was unsuccessful.

Preoperative Plan

Planning remarks:  The preoperative plan included advanced imaging with CT, including 3D surface renderings, to further delineate the extent of articular impaction, wall fragment size, and comminution. The plan was for open reduction and internal fixation via a posterior Kocher-Langenbeck approach in the prone position. Elevation of impacted articular segments was planned, with structural support using autologous bone graft harvested from the greater trochanter. Fragment-specific fixation was planned with a spring hook plate for the cranial wall fragment and a reconstruction plate for the main posterior wall fragment.

Surgical Discussion

Patient positioning:  The patient was positioned prone on a radiolucent table, with all pressure points padded. Skeletal traction was maintained via a distal femoral K-wire and tensioning bow throughout the procedure.

Anatomical surgical approach:  A standard Kocher-Langenbeck approach was utilized. A longitudinal incision was made centered over the greater trochanter, extending proximally and distally as required. The fascia lata was incised in line with the skin incision, and the gluteus maximus was split in the direction of its fibers. The short external rotators (piriformis, obturator internus, gemelli) were identified and retracted or released as necessary to expose the posterior column and wall of the acetabulum. The sciatic nerve was identified and protected throughout. The impacted articular surface was elevated using dedicated elevators, and the defect was filled with autologous corticocancellous bone graft harvested from the greater trochanter. The cranial wall fragment was reduced anatomically and secured with a spring hook plate. The main posterior wall fragment was then reduced and stabilized with a contoured reconstruction plate.

Operative remarks: 

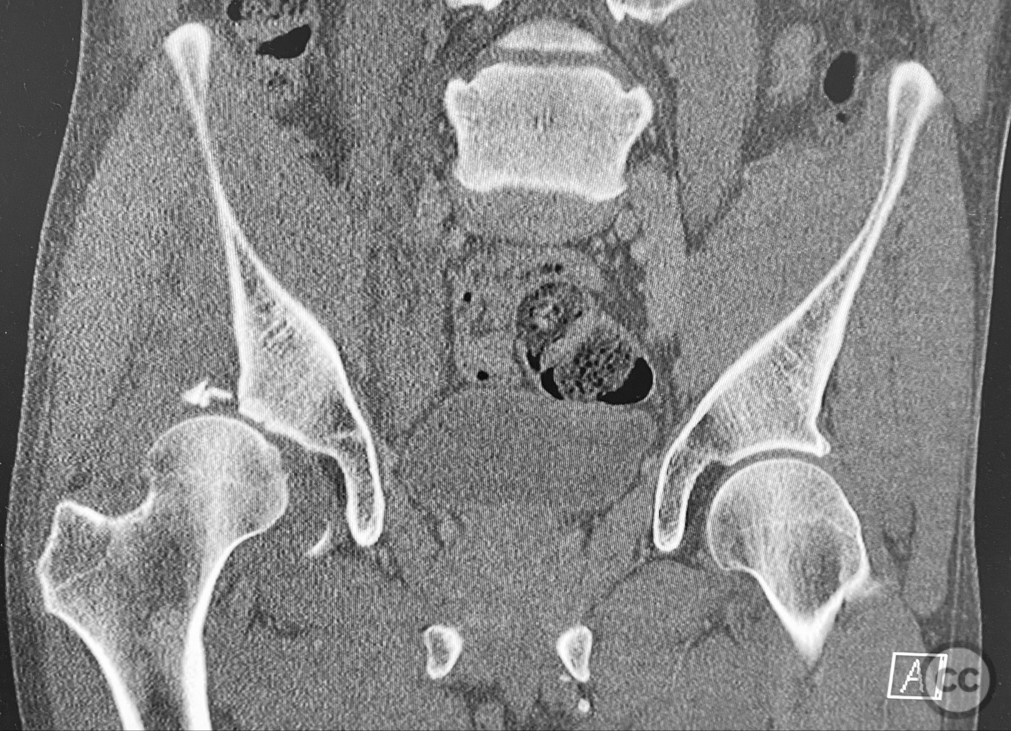
The initial failed closed reduction likely resulted from interposed soft tissue or bony fragments, or inadequate sedation/muscle relaxation. Repeat reduction under improved conditions was successful prior to definitive fixation. 3D CT renderings provided enhanced visualization of impaction zones and comminution, facilitating preoperative planning for grafting and fragment-specific fixation. Intraoperatively, elevation of the impacted dome required careful manipulation to avoid further chondral injury. Use of a spring hook plate provided secure fixation of the cranial wall fragment, while the reconstruction plate supported the main wall fragment. Postoperative CT confirmed satisfactory reduction and implant positioning.

Postoperative protocol:   Protected weight bearing (toe-touch or partial) is recommended for 6-8 weeks postoperatively, with progressive increase in weight bearing thereafter as radiographic healing permits. Early passive range of motion exercises are initiated to minimize joint stiffness.

Follow up:   Not specified

Orthopaedic implants used:   Spring hook plate; 3.5mm reconstruction plate; autologous trochanteric bone graft; distal femoral K-wire (for skeletal traction)

Search for Related Literature

Powered by OrthoSearch - The British Editorial Society of Bone & Joint Surgery


#

Chip Routt

  • United States , Texas
  • Area of Specialty - Pelvis
  • Position - Specialist Consultant
#
Industry Sponsership

contact us for advertising opportunities


Peer Review Score

Average Score based on 0 reviews