Article viewed 203 times

12 Sep 2025
Add to Bookmarks


 

Associated Both Column Acetabular Fracture: Sequential ORIF via Ilioinguinal Windows and Percutaneous Posterior Column Fixation


Score and Comment on this Case

Select a Score out of 10, and add a comment in the field below

Respectfully consider international variabilty in surgical technique and implants when commenting.
Protected by reCAPTCHA - Privacy and Terms


Clinical Details

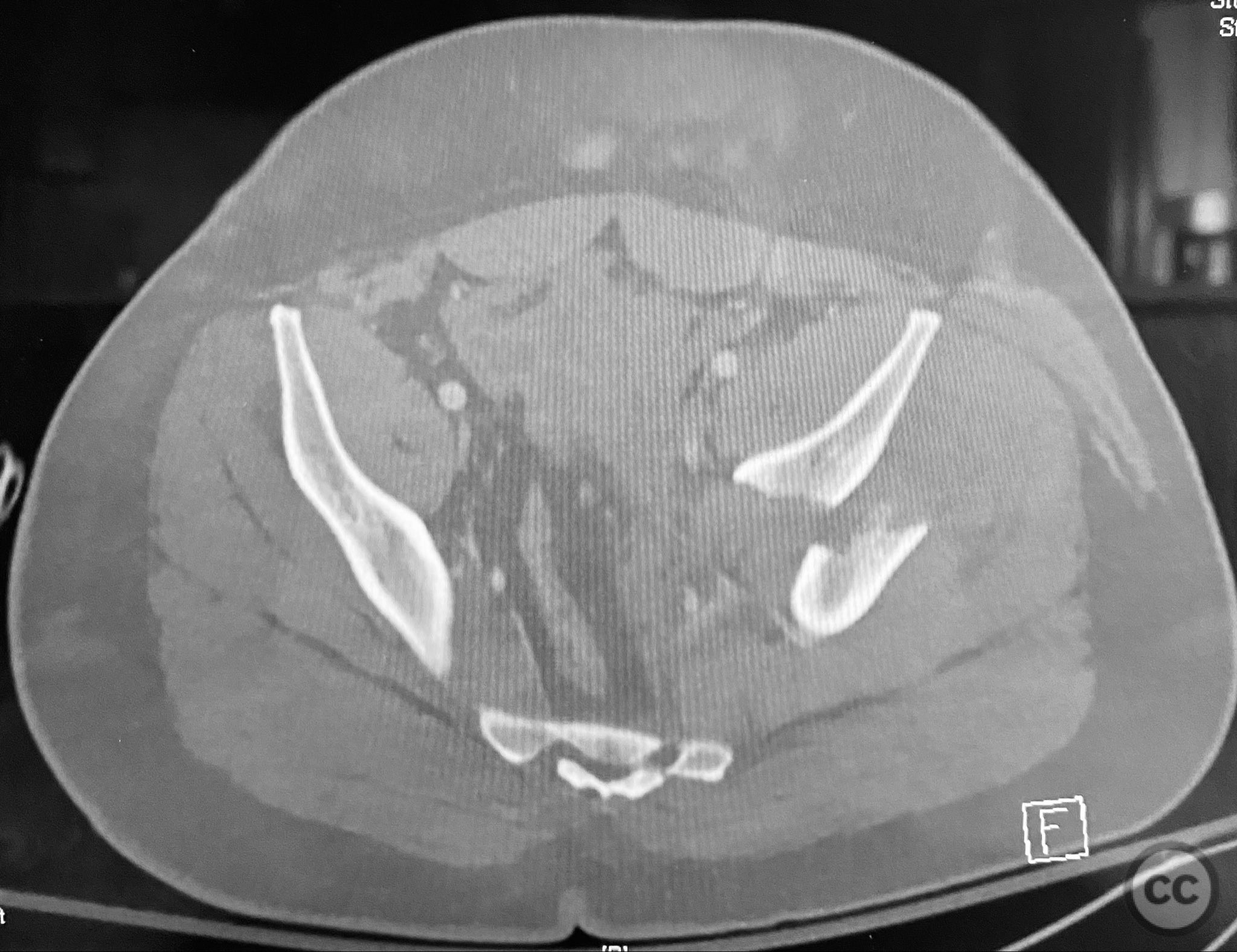
Clinical and radiological findings:  A patient presented with a displaced associated both column acetabular fracture, characterized radiographically by the presence of the "spur sign" on the anteroposterior (AP) pelvis film, indicating the caudal aspect of the intact ilium exposed by medial displacement of the articular fragments. The spur was more clearly visualized on the obturator oblique rendered image. Axial computed tomography (CT) images demonstrated the intact ilium, medially displaced anterior column (AC) and posterior column (PC) fragments, and provided detailed visualization of surrounding soft tissues, including vascular structures enhanced by contrast. Multiplanar CT reconstructions (axial, sagittal, coronal) and 3D renderings were utilized for comprehensive fracture and soft tissue assessment. The patient’s overall clinical condition was a significant factor in surgical planning.

Preoperative Plan

Planning remarks:  The preoperative plan involved open reduction and internal fixation (ORIF) of the anterior column via the ilioinguinal approach, utilizing two separate windows for exposure and reduction. Given the patient’s clinical status, a staged approach was selected: initial AC reduction and fixation, with planned subsequent percutaneous reduction and fixation of the PC. Implant positioning during the first operation was planned to avoid obstructing subsequent percutaneous PC fixation.

Surgical Discussion

Patient positioning:  The patient was positioned supine on a radiolucent operating table to facilitate anterior pelvic access and intraoperative fluoroscopic imaging.

Anatomical surgical approach:  A classical ilioinguinal approach was performed, with two windows developed: the lateral window between the musculus sartorius and musculus tensor fasciae latae, and the middle window between the musculus iliopsoas and external iliac vessels. Subcutaneous dissection was performed to create two opposing slabs of adipose tissue ("walls of fat"), minimizing random subcutaneous incisions. The anterior column fragment was exposed, reduced anatomically, and fixed under direct visualization. At a subsequent stage, percutaneous reduction and fixation of the posterior column were performed under fluoroscopic guidance, with careful trajectory planning to avoid interference from previously placed AC implants.

Operative remarks: 

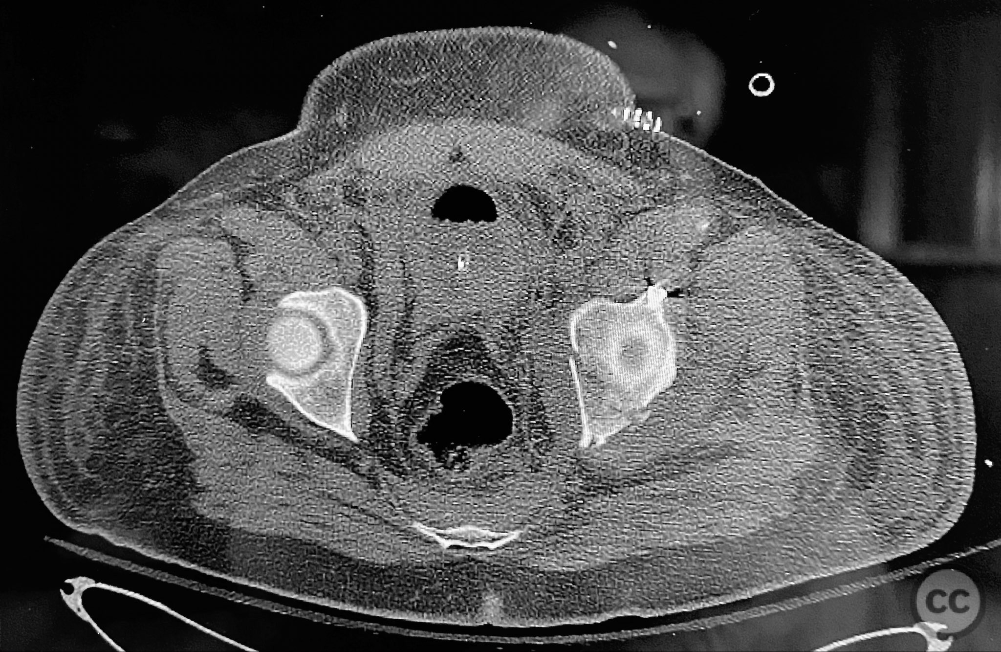
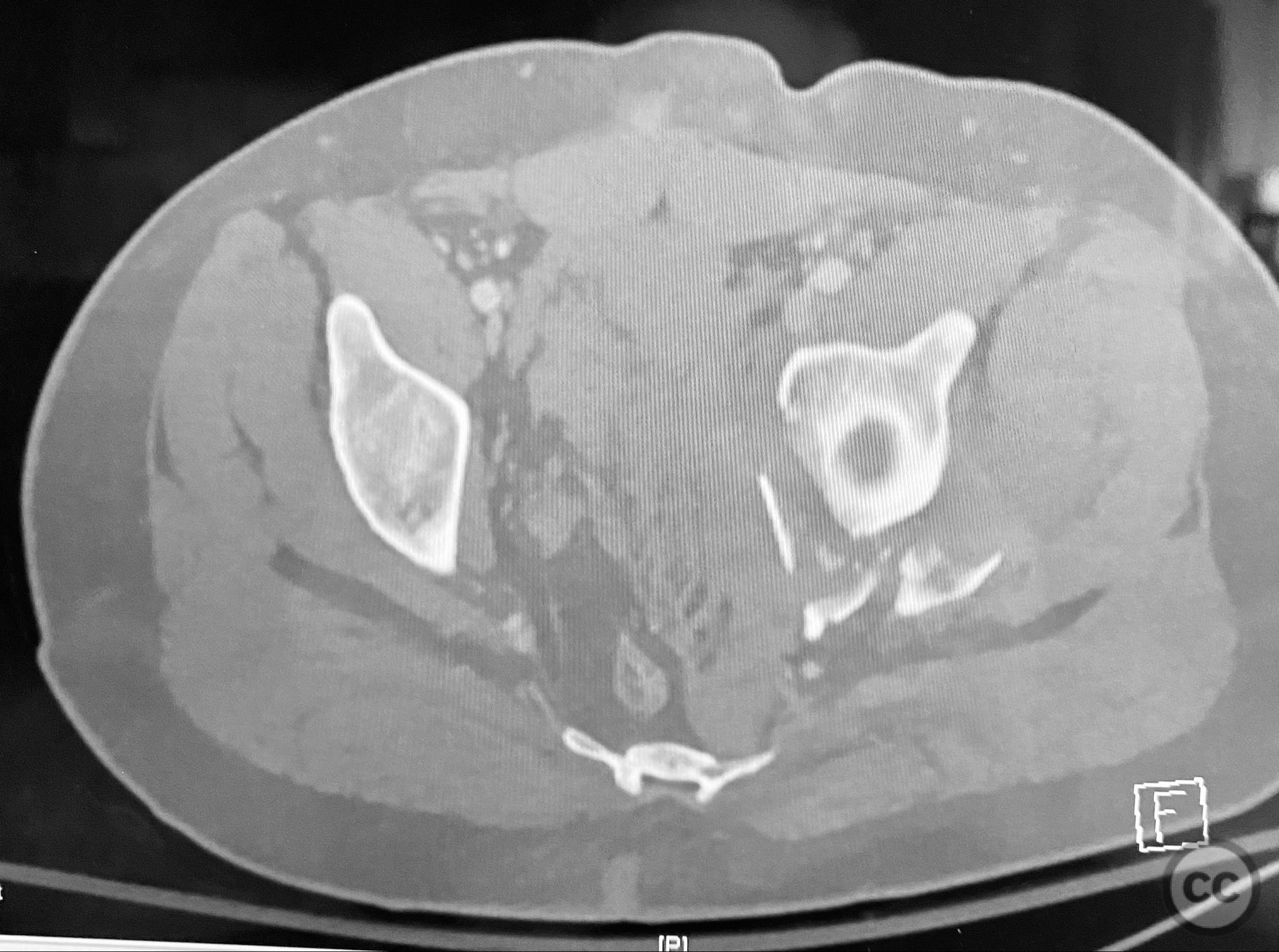
The operative sequence was dictated by the patient’s overall clinical status, necessitating staged management. Intraoperative attention was paid to implant placement during AC fixation to preserve access for subsequent percutaneous PC fixation. Postoperative CT confirmed satisfactory reduction and fixation of both columns, with appropriate implant positioning and no evidence of neurovascular compromise or significant soft tissue complications.

Postoperative protocol:   Early passive range of motion exercises were initiated postoperatively. Weight bearing was restricted according to fracture stability and healing progression, with toe-touch weight bearing for 6–8 weeks, followed by gradual advancement to partial and then full weight bearing as radiographic union permitted.

Follow up:   Not specified

Orthopaedic implants used:   3.5 mm reconstruction plates (anterior column), cannulated screws (posterior column, percutaneous technique)

Search for Related Literature

Powered by OrthoSearch - The British Editorial Society of Bone & Joint Surgery


#

Chip Routt

  • United States , Texas
  • Area of Specialty - Pelvis
  • Position - Specialist Consultant
#
Industry Sponsership

contact us for advertising opportunities


Peer Review Score

Average Score based on 0 reviews