Article viewed 196 times

12 Sep 2025
Add to Bookmarks


 

Percutaneous Stabilization of Unstable Minimally Displaced Pelvic Ring Injury


Score and Comment on this Case

Select a Score out of 10, and add a comment in the field below

Respectfully consider international variabilty in surgical technique and implants when commenting.
Protected by reCAPTCHA - Privacy and Terms


Clinical Details

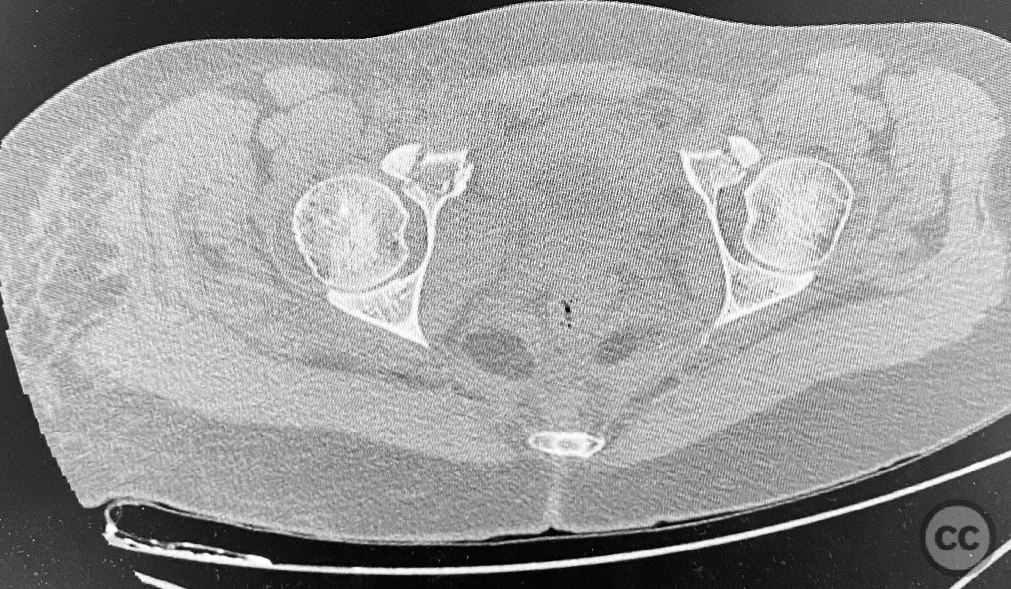
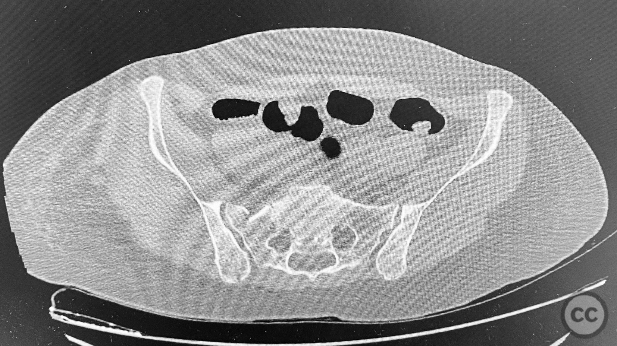
Clinical and radiological findings:  A middle-aged patient involved in a motor vehicle collision presented initially with a closed ankle fracture-dislocation and minimal pelvic complaints. Following closed reduction and splinting of the ankle, the patient developed severe pelvic pain (9/10) with any attempted movement. Neurological and vascular examination was not specified. Computed tomography demonstrated minimally displaced fractures of the posterior ilium, sacral ala, and bilateral pubic rami. AP CT surface renderings revealed subtle but clinically significant displacement and deformity of the pelvic ring, which was difficult to appreciate on standard axial images.

Preoperative Plan

Planning remarks:  The preoperative plan was to assess pelvic stability under anesthesia, utilizing manual compression of the cristae iliacae with intraoperative fluoroscopic inlet imaging to identify sites of instability. Percutaneous screw fixation was planned for unstable zones, with reduction refined as necessary under imaging guidance.

Surgical Discussion

Patient positioning:  Supine position on a radiolucent table, allowing unobstructed fluoroscopic access to the pelvis in multiple planes.

Anatomical surgical approach:  Percutaneous approach: Small stab incisions were made over the crista iliaca and sacral entry points as determined by preoperative imaging. Under fluoroscopic guidance, guidewires were advanced across the sacroiliac joint and sacral ala as indicated. Cannulated screws were inserted percutaneously to stabilize the unstable posterior pelvic ring and rami fractures.

Operative remarks: 

Intraoperative assessment confirmed instability at the posterior pelvic ring with manual stress testing under fluoroscopy. Reduction was achieved with gentle manipulation and maintained during percutaneous screw insertion. The use of intraoperative inlet and outlet views was critical for accurate screw placement and confirmation of reduction. The minimally invasive technique minimized additional soft tissue trauma in this polytrauma patient.

Postoperative protocol:   Early mobilization as tolerated with protected weight bearing for 6–8 weeks. Progressive increase in activity based on radiographic evidence of healing and clinical improvement in pain. Emphasis on deep vein thrombosis prophylaxis and pulmonary hygiene.

Follow up:   Not specified

Orthopaedic implants used:   Cannulated percutaneous pelvic screws

Search for Related Literature

Powered by OrthoSearch - The British Editorial Society of Bone & Joint Surgery


#

Chip Routt

  • United States , Texas
  • Area of Specialty - Pelvis
  • Position - Specialist Consultant
#
Industry Sponsership

contact us for advertising opportunities


Peer Review Score

Average Score based on 0 reviews