Article viewed 579 times

08 Dec 2025
Add to Bookmarks


 

Ipsilateral Tibial Shaft and Trimalleolar Ankle Fracture: Case Report


Score and Comment on this Case

Select a Score out of 10, and add a comment in the field below

Respectfully consider international variabilty in surgical technique and implants when commenting.
Protected by reCAPTCHA - Privacy and Terms


Clinical Details

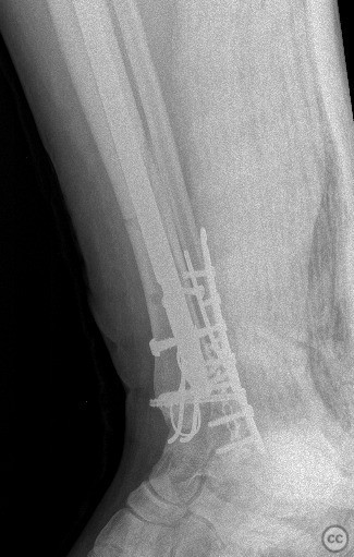
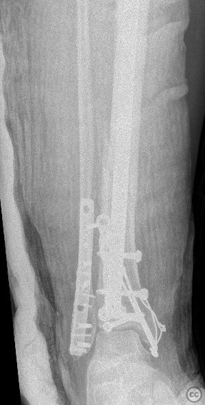
Clinical and radiological findings:  A 45-year-old male sustained a high-energy trauma resulting in an ipsilateral closed tibial shaft fracture and a trimalleolar fracture of the ankle. Initial radiographs demonstrated a displaced mid-diaphyseal tibial fracture (AO/OTA 42-A3) and a trimalleolar ankle fracture (AO/OTA 44-C1), with involvement of the medial malleolus, lateral malleolus, and posterior malleolus. No evidence of open injury or neurovascular compromise was present on examination.

Preoperative Plan

Planning remarks:  The preoperative plan included a staged approach: initial stabilization of the tibial shaft fracture with an intramedullary nail via an infrapatellar approach, followed by open reduction and internal fixation of the trimalleolar ankle fracture through separate medial and posterolateral incisions.

Surgical Discussion

Patient positioning:  tibia nail and medial malleol----supin///// lateral and posterior malleol------prone position

Operative remarks: 

The combination of ipsilateral tibial shaft and trimalleolar ankle fractures presents technical challenges in maintaining alignment and stability during fixation. Sequential fixation allowed for restoration of tibial length and rotation prior to addressing the articular surface of the ankle. Careful soft tissue handling was required due to the proximity of multiple incisions. Stable fixation of all malleolar fragments was achieved with lag screws and neutralization plating as indicated.

Postoperative protocol:   Postoperatively, the limb was immobilized in a well-padded posterior splint with strict non-weight bearing for 6 weeks. Early active range of motion exercises for the knee and ankle were initiated at 2 weeks postoperatively, progressing to partial weight bearing at 6 weeks and full weight bearing by 10-12 weeks, contingent on radiographic evidence of healing.

Follow up:   Not specified

Orthopaedic implants used:   tibial intramedullary nail; 3.5mm tubular plate; 4.0mm cannulated screws; mini plate, k wire, cerclage

Search for Related Literature

Powered by OrthoSearch - The British Editorial Society of Bone & Joint Surgery


#

Seçkin Doğan

  • Turkey , türkiye
  • Area of Specialty -
  • Position -
#
Industry Sponsership

contact us for advertising opportunities


Peer Review Score

Average Score based on 0 reviews