Article viewed 700 times

11 Sep 2025
Add to Bookmarks


 

Multifragmentary Distal Radius Fracture with Flipped Ulnar Articular Margin


Score and Comment on this Case

Select a Score out of 10, and add a comment in the field below

Respectfully consider international variabilty in surgical technique and implants when commenting.
Protected by reCAPTCHA - Privacy and Terms


Clinical Details

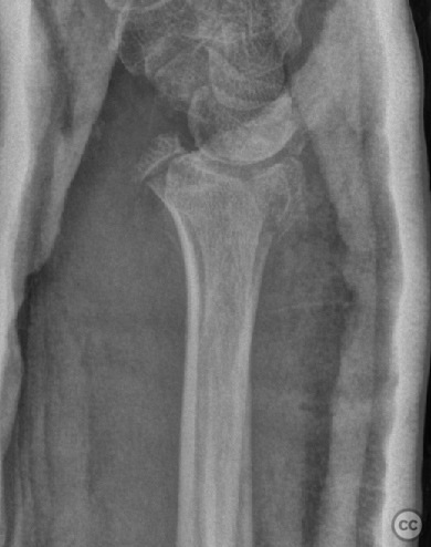
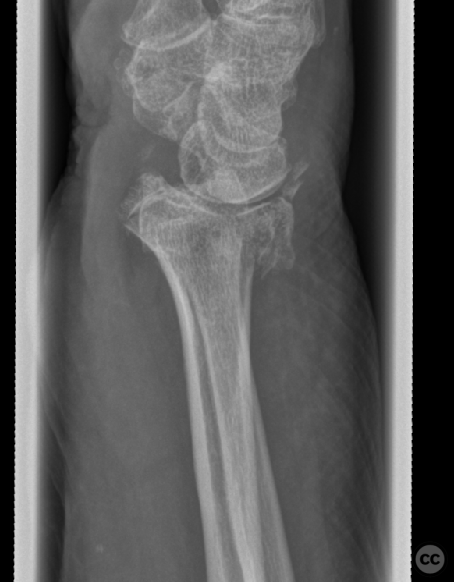
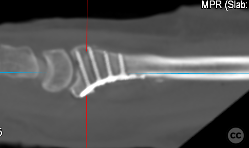
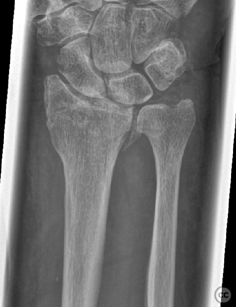
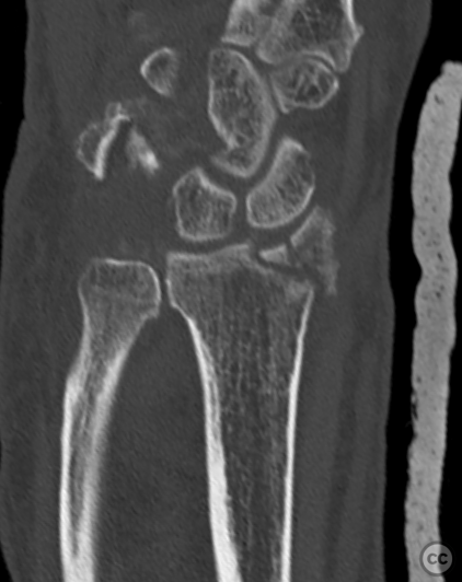
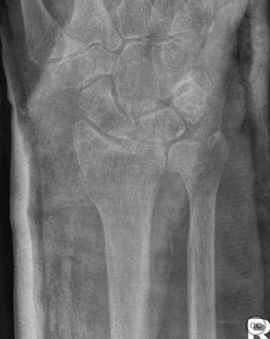
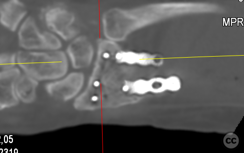
Clinical and radiological findings:  A 72-year-old female sustained a multifragmentary, dorsally displaced distal radius fracture after a fall down stairs. Initial reduction revealed a 180-degree flipped fragment of the volar ulnar articular margin, unreducible by closed means. There was no mention of associated neurovascular compromise or open injury. Radiographs and intraoperative fluoroscopy confirmed the presence of a multifragmentary intra-articular fracture (AO/OTA 23-C3), with a flipped volar ulnar fragment and radial styloid impaction. The distal radioulnar joint alignment was restored postoperatively.

Preoperative Plan

Planning remarks:  The preoperative plan was for open reduction and internal fixation via an Extended (eFCR) volar approach, with specific attention to direct visualization and reduction of the flipped volar ulnar articular fragment, anatomical reduction of the radial styloid, and fragment-specific fixation using mini-fragment plates and provisional Kirschner wires.

Surgical Discussion

Patient positioning:  The patient was positioned supine on a radiolucent operating table, with the right arm abducted and placed on an auxiliary arm table. A pneumatic tourniquet was applied to the proximal arm.

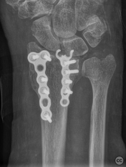
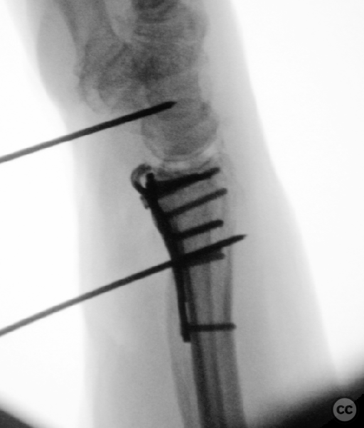
Anatomical surgical approach:  A longitudinal incision was made over the flexor carpi radialis (FCR), zigzagging over the wrist crease. Subcutaneous dissection and incision of the FCR tendon sheath were performed, followed by transection of musculus pronator quadratus fibers along the radial border of the distal FCR. The FCR tendon was retracted ulnarly, and the antebrachial fascia incised. Musculus flexor pollicis longus was identified and retracted ulnarly. The pronator quadratus was incised along its radial border and the watershed line, then elevated subperiosteally to expose the distal radius. Extended distal release of the FCR allowed wide exposure of the ulnar aspect of the lunate facet and volar lip. The flipped volar ulnar fragment was de-rotated and provisionally fixed with a Kirschner wire. Ligamentotaxis for radial styloid reduction was achieved using Kirschner wires in the scaphoid and distal radius, with a wire spreader applied for distraction. Provisional fixation was achieved with multiple Kirschner wires. A mini-fragment T-plate, cut and shaped as a hook plate, was applied to the volar ulnar lip fragment, fixed with bicortical screws, and used to engage dorsal fragments. The radial styloid was addressed with a contoured T-plate, similarly fixed with bicortical locking screws. Final multiplanar fluoroscopy confirmed anatomical reduction and hardware placement.

Operative remarks: 

The flipped volar ulnar articular margin fragment was irreducible by closed means due to capsular attachment and required direct open de-rotation and fixation. The impaction and proximal displacement of the radial styloid fragments were challenging due to persistent traction from musculus brachioradialis and scaphoid pressure; ligamentotaxis using Kirschner wire spreader over the scaphoid facilitated reduction. Fragment-specific fixation was necessary: a custom-shaped hook plate for the volar ulnar lip fragment provided stable fixation and prevented dorsal instability, while a separate T-plate addressed the radial styloid. Bicortical locking screws were used to secure both plates, with some screws engaging dorsal fragments from the volar side. Careful adaptation of pronator quadratus over hardware minimized risk of musculus flexor pollicis longus irritation. Additional suture stabilization of radiocarpal ligaments to pronator quadratus provided secondary ligamnetal support.

Postoperative protocol:   Postoperatively, a soft wrist joint orthosis is recommended. Early mobilization within comfort is anticipated, avoiding heavy lifting or resisted wrist flexion/extension for six weeks. Gradual increase in range-of-motion exercises is expected from two weeks postoperatively, with progression to strengthening at six weeks.

Follow up:   Not specified

Orthopaedic implants used:   - 1.0 mm Kirschner wire (provisional fixation) - 1.8 mm Kirschner wire (scaphoid traction) - 2.0 mm Stryker mini fragment T-plate (cut/shaped as hook plate) - 2.4 mm T-plate (radial styloid fixation)

Search for Related Literature

Powered by OrthoSearch - The British Editorial Society of Bone & Joint Surgery


#

Dr Ed Oates

  • Germany , Schleswig Holstein
  • Area of Specialty - General Trauma
  • Position - Specialist Consultant
#
Industry Sponsership

contact us for advertising opportunities


Peer Review Score

Average Score based on 0 reviews