Article viewed 235 times

14 Jul 2025
Add to Bookmarks


 

Open Distal Femur and Segmental Tibia Fractures with Floating Knee Injury


Score and Comment on this Case

Select a Score out of 10, and add a comment in the field below

Respectfully consider international variabilty in surgical technique and implants when commenting.
Protected by reCAPTCHA - Privacy and Terms


Clinical Details

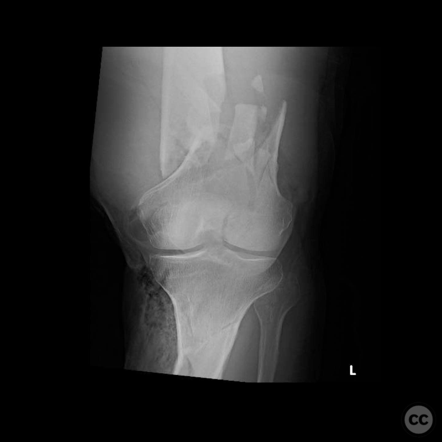
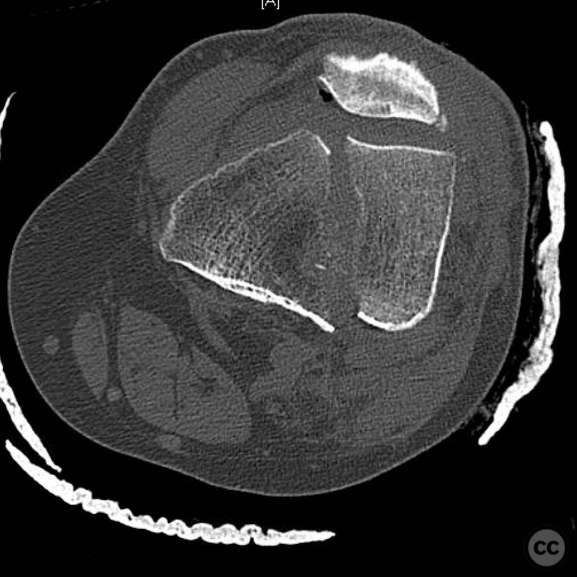
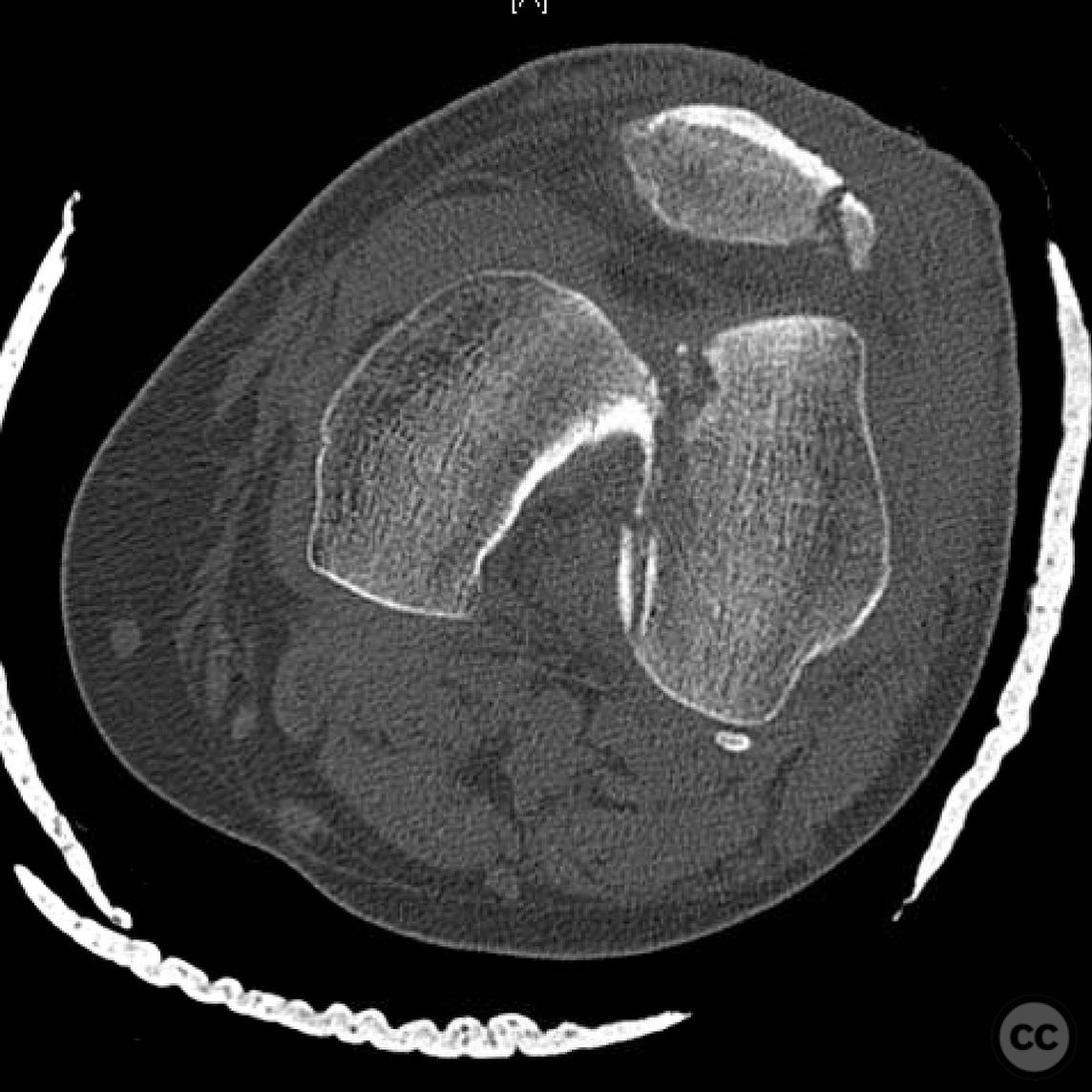
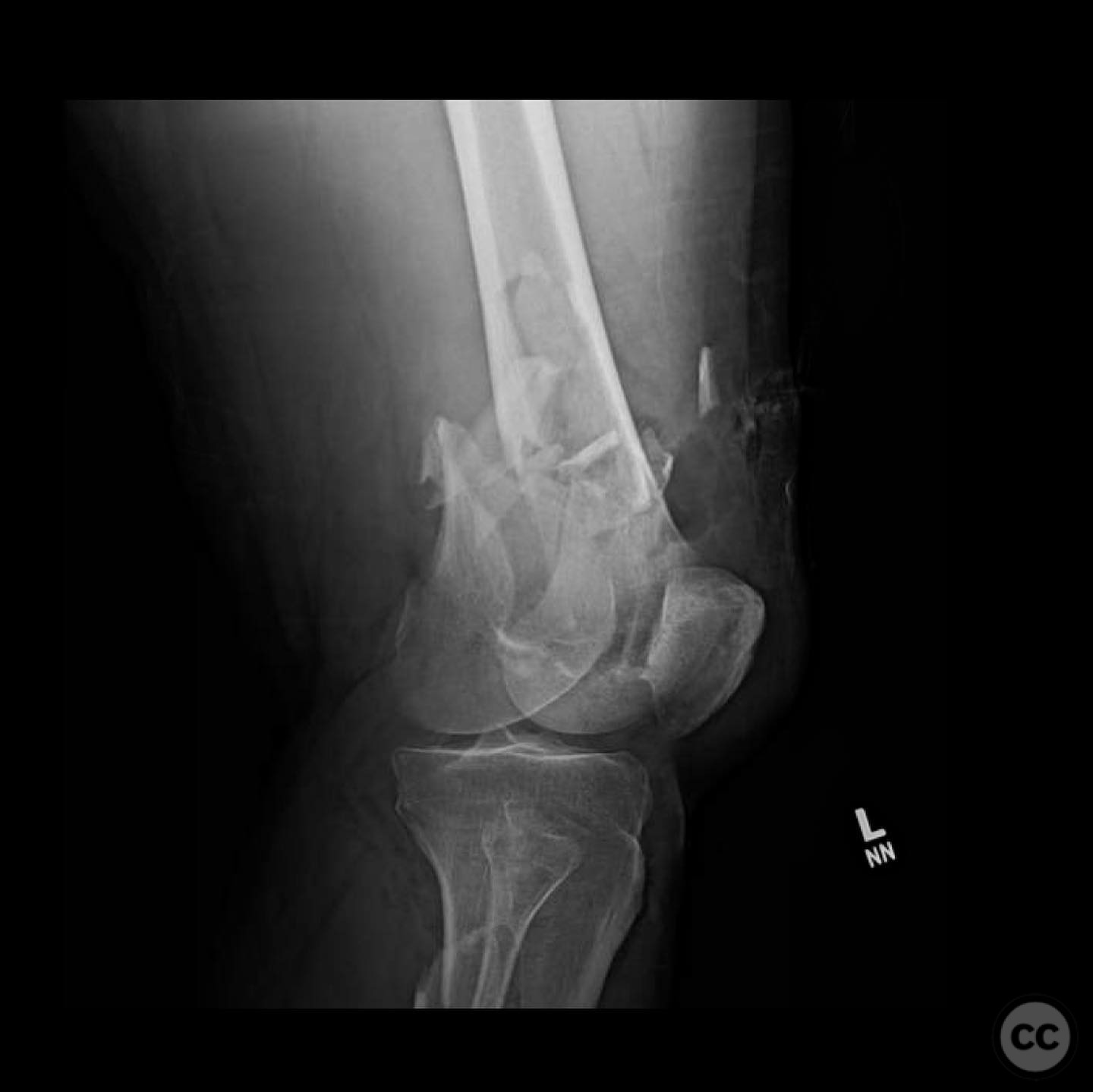
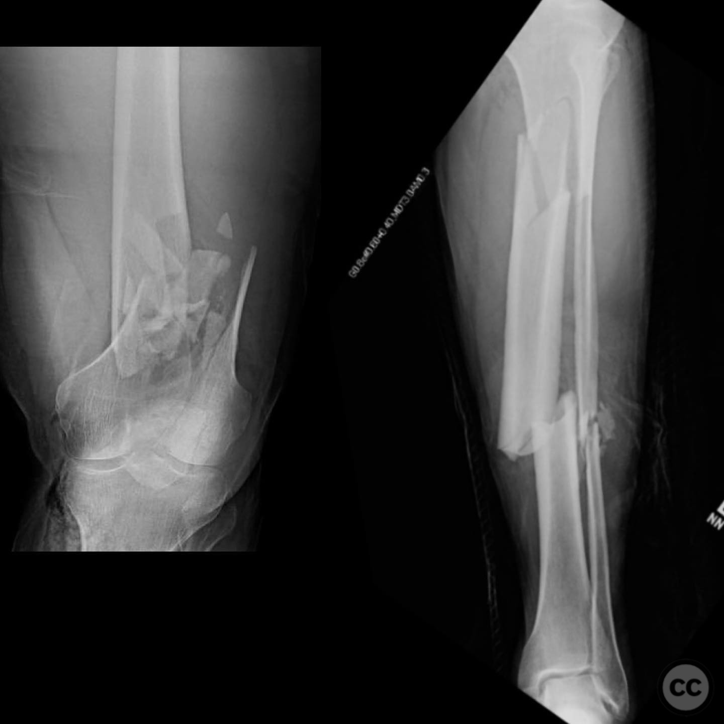
Clinical and radiological findings:  A 44-year-old male cyclist was involved in a collision with a car, resulting in open fractures of the distal femur and segmental tibia. The femoral fracture presented with a 4 cm transverse wound on the anterior aspect, while the tibial fracture had a 2 cm anterolateral wound at the distal site. There were no associated head, chest, or abdominal injuries, and compartment syndrome was not present. Vascular examination was unremarkable.

Preoperative Plan

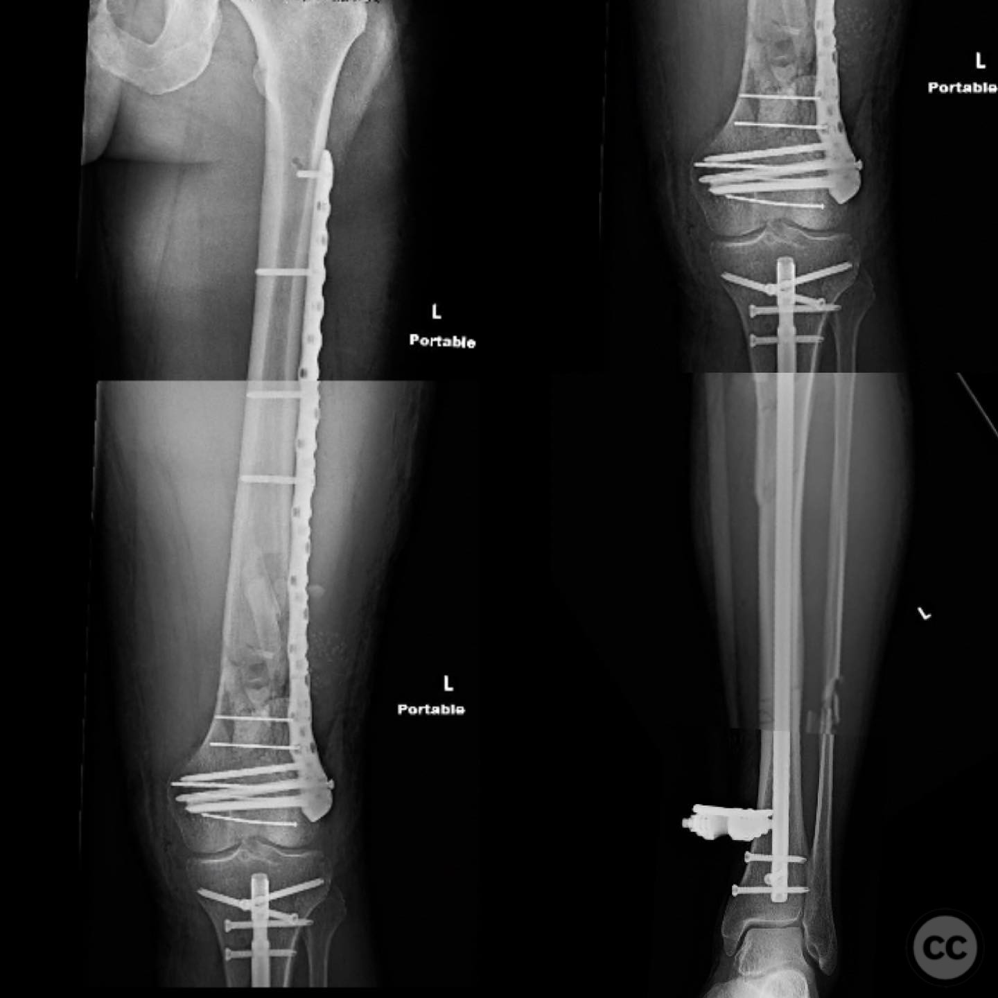
Planning remarks:  The preoperative plan involved initial debridement and irrigation of both open fractures. The tibia was prioritized for intramedullary nailing, followed by spanning external fixation of the distal femur. Definitive fixation of the distal femur was planned for two days post-initial stabilization.

Surgical Discussion

Patient positioning:  Supine positioning on a radiolucent table to facilitate fluoroscopic imaging. The affected limb was prepared for access to both the femur and tibia.

Anatomical surgical approach:  For the tibia, a longitudinal incision was made to access the proximal tibial start site for intramedullary nailing. Percutaneous clamps were utilized for reduction, supplemented by blocking screws as needed. For the distal femur, an external fixator was applied initially, followed by an in situ lateral approach for plating after reduction was achieved.

Operative remarks: 

The tibial nailing required precise identification of the start site under fluoroscopic guidance, with percutaneous clamps aiding in reduction. Blocking screws were considered but not necessary due to successful reduction with clamps alone. The distal femur presented challenges in achieving coronal and sagittal alignment, necessitating reliance on the external fixator for reduction before proceeding with plating.

Postoperative protocol:   Postoperative rehabilitation included early mobilization with weight-bearing as tolerated on the tibia, while the femur required protection until definitive fixation was achieved. Progressive weight-bearing was introduced following femoral plating.

Follow up:   Not specified

Orthopaedic implants used:   Intramedullary nail for tibia, external fixator for initial femoral stabilization, and locking plate for definitive femoral fixation.

Search for Related Literature

Powered by OrthoSearch - The British Editorial Society of Bone & Joint Surgery


#

orthopaedic_trauma

  • United States , Seattle
  • Area of Specialty - General Trauma
  • Position - Specialist Consultant
#
Industry Sponsership

contact us for advertising opportunities


Peer Review Score

Average Score based on 0 reviews