Article viewed 725 times

12 Sep 2025
Add to Bookmarks


 

Combined Anterior Column and Posterior Hemi-Transverse Acetabular Fracture: Ilioinguinal Approach with Focal Plate Fixation


Score and Comment on this Case

Select a Score out of 10, and add a comment in the field below

Respectfully consider international variabilty in surgical technique and implants when commenting.
Protected by reCAPTCHA - Privacy and Terms


Clinical Details

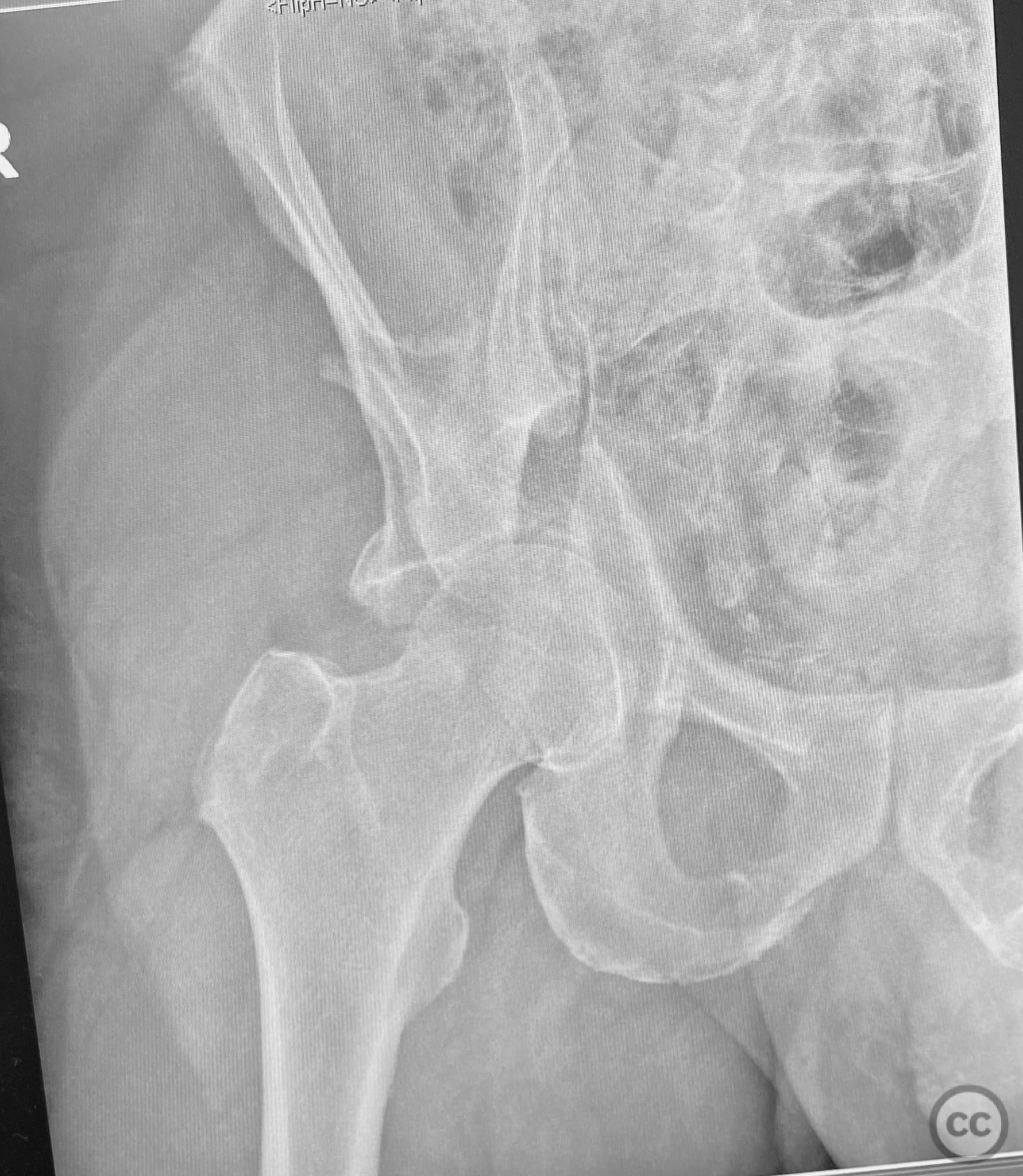
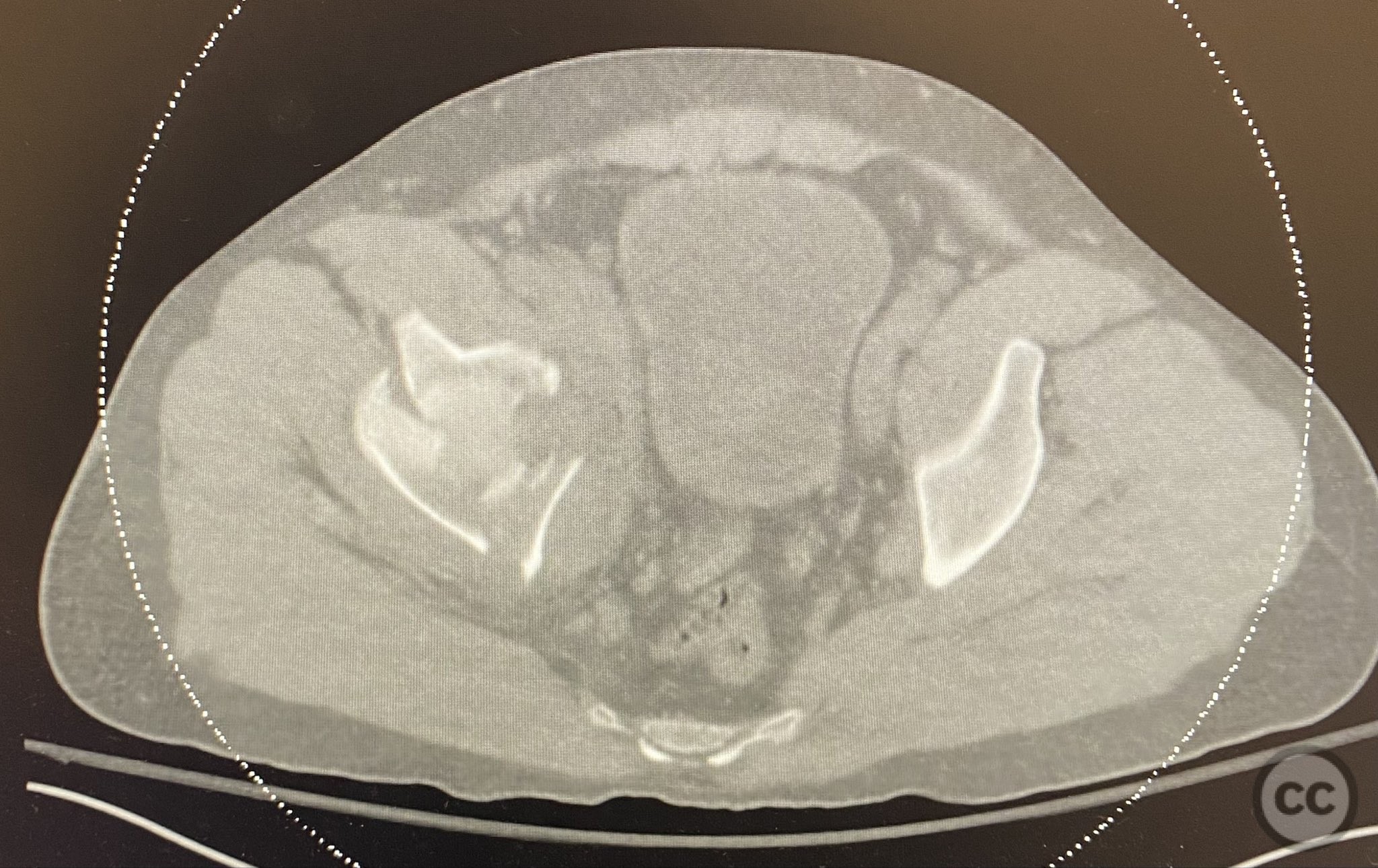
Clinical and radiological findings:  A patient presented with a combined anterior column and posterior hemi-transverse (AC/PHTr) acetabular fracture. Plain radiographs demonstrated multiple displaced fragments involving the acetabular dome and femoral head region, with clear disruption of the anterior column and posterior transverse components. Advanced imaging, including axial and coronal CT, provided detailed visualization of cortical surface displacement, fragment orientation, and associated soft tissue status. The edge of the intact dome and femoral head injuries were identified, as well as a residual defect at the edge of the dome following reduction. AO/OTA classification: 62B2 (anterior column with posterior hemitransverse).

Preoperative Plan

Planning remarks:  The preoperative plan was to utilize an ilioinguinal approach, specifically employing the iliac, middle, and intrapelvic intervals for exposure. The plan included anatomical reduction of the anterior column and posterior hemi-transverse fragments using bone clamps, followed by stabilization with buttressing plates and interfragmentary lag screws. No intraoperative traction was planned.

Surgical Discussion

Patient positioning:  The patient was positioned supine on a radiolucent table, with no traction applied.

Anatomical surgical approach:  A standard ilioinguinal approach was performed, sequentially developing the iliac, middle, and intrapelvic windows. Subperiosteal dissection exposed the fractured anterior column and quadrilateral plate. The fracture planes were meticulously debrided of hematoma and interposed tissue. Bone clamps were applied to achieve reduction of the anterior column and posterior hemi-transverse fragments. Buttressing plates were contoured and applied to the pelvic brim and quadrilateral surface, with interfragmentary lag screws placed through the plates to secure the reduction while maintaining clamp control.

Operative remarks: 

Surface renderings from preoperative imaging facilitated intraoperative correlation between radiographic and fluoroscopic views, aiding in precise interpretation of fragment orientation during reduction. The use of focal plates allowed for maintenance of provisional reductions with bone holding clamps during definitive fixation. Restoration of radiographic lines was confirmed on intraoperative AP fluoroscopy, while postoperative axial CT demonstrated successful central dome repair with a residual edge crush defect at the dome margin.

Postoperative protocol:   Postoperatively, early passive range of motion exercises were initiated with toe-touch weight bearing for 8 weeks. Progressive weight bearing was advanced according to radiographic evidence of healing.

Follow up:   Not specified

Orthopaedic implants used:   Focal buttressing plates, interfragmentary lag screws

Search for Related Literature

Powered by OrthoSearch - The British Editorial Society of Bone & Joint Surgery


#

Chip Routt

  • United States , Texas
  • Area of Specialty - Pelvis
  • Position - Specialist Consultant
#
Industry Sponsership

contact us for advertising opportunities


Peer Review Score

Average Score based on 0 reviews