Article viewed 181 times

12 Sep 2025
Add to Bookmarks


 

Transverse with Comminuted Posterior Wall Acetabular Fracture-Dislocation Treated by Prone Kocher-Langenbeck Approach


Score and Comment on this Case

Select a Score out of 10, and add a comment in the field below

Respectfully consider international variabilty in surgical technique and implants when commenting.
Protected by reCAPTCHA - Privacy and Terms


Clinical Details

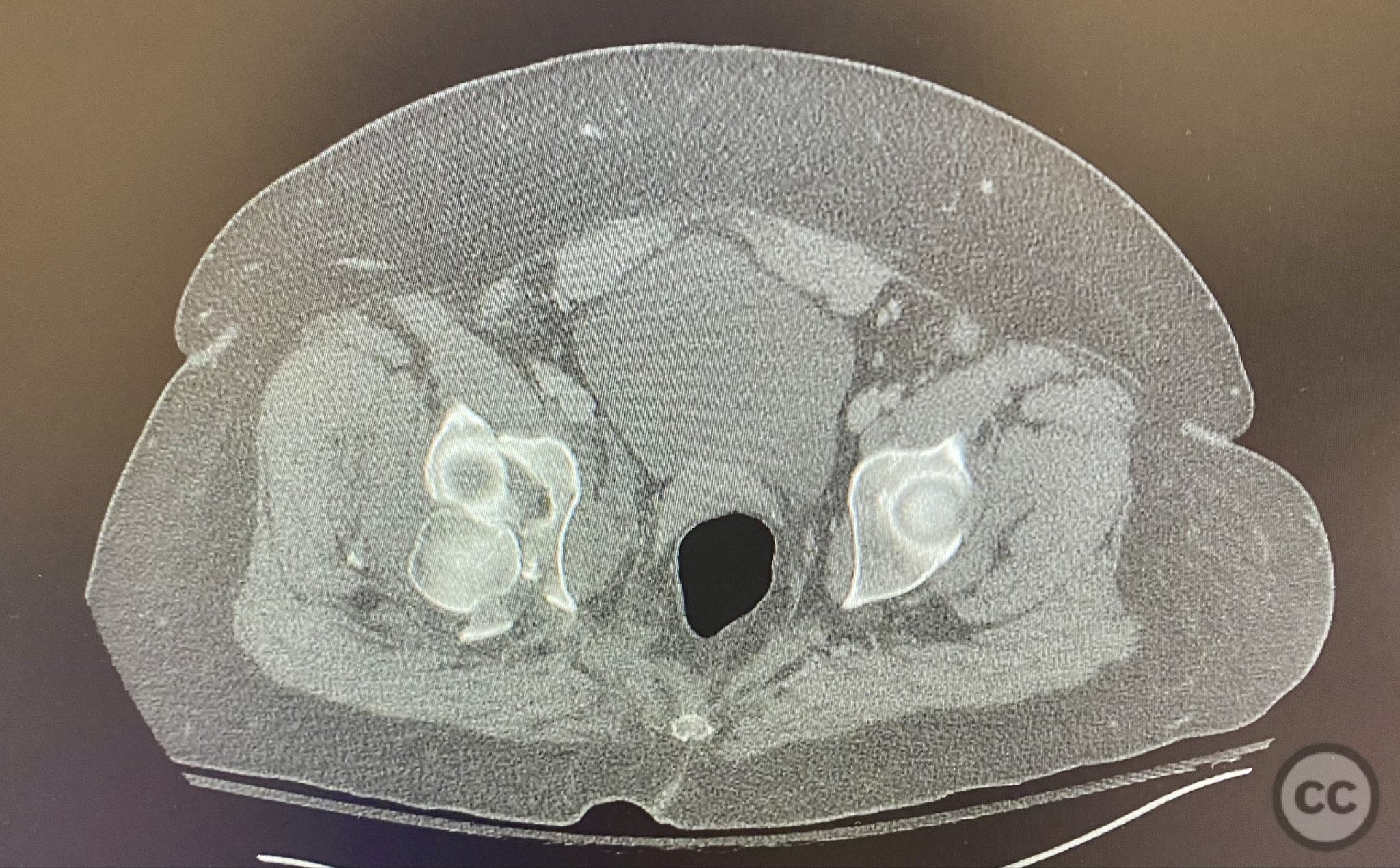
Clinical and radiological findings:  A high-speed motor vehicle collision resulted in a closed transverse acetabular fracture with associated comminuted posterior wall (PW) fracture-dislocation. The femoral head exhibited impaction and comminution, with local cancellous bone crushed and the femoral head itself also sustaining compressive injury from the denser acetabular bone. Neurovascular examination was unremarkable. Initial CT imaging delineated the acetabular fracture planes, displacement, comminution of the posterior wall, femoral head impaction, and absence of soft tissue attachment to the caudal PW fragment.

Preoperative Plan

Planning remarks:  The preoperative plan was for open reduction and internal fixation via a posterior approach, specifically a Kocher-Langenbeck (KL) exposure, to allow direct visualization and manipulation of the transverse fracture plane and posterior wall fragments. Percutaneous biplanar fluoroscopy-guided cannulated cancellous lag screw fixation was planned for the transverse component, with subsequent buttress plating of the posterior wall fragments.

Surgical Discussion

Patient positioning:  The patient was positioned prone on a radiolucent operating table to facilitate posterior pelvic access and allow intraoperative fluoroscopic imaging in multiple planes.

Anatomical surgical approach:  A Kocher-Langenbeck approach was performed: a longitudinal incision centered over the greater trochanter, with dissection through the gluteal fascia and splitting of the gluteus maximus muscle. The short external rotators were identified and detached from their femoral insertions, with care to protect the sciatic nerve. Subperiosteal elevation of the piriformis and obturator internus tendons exposed the posterior column and wall of the acetabulum. The comminuted posterior wall fragments were identified; the caudal fragment was noted to be devoid of soft tissue attachments. The transverse fracture plane was visualized, debrided, and reduced under direct vision.

Operative remarks: 

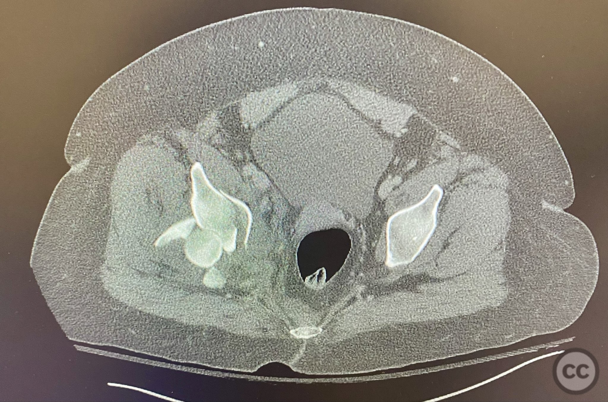
The transverse fracture was manipulated and temporarily stabilized using a reduction clamp applied across the fracture plane. Under biplanar fluoroscopic guidance, a cannulated cancellous lag screw was percutaneously inserted to achieve interfragmentary compression across the transverse component. The reduction clamp was then removed. Posterior wall fragments were anatomically reduced and stabilized with contoured buttress plates spanning both the posterior wall and providing additional stabilization to the transverse component. Postoperative CT confirmed satisfactory reduction and fixation of both acetabular columns and restoration of articular congruity.

Postoperative protocol:   Postoperatively, skeletal traction was discontinued. The patient was maintained non-weight bearing on the affected limb for 8 weeks, with early passive range of motion exercises initiated at 48 hours post-surgery. Progressive weight bearing was introduced after radiographic evidence of healing at 8–10 weeks.

Follow up:   Not specified

Orthopaedic implants used:   Cannulated cancellous lag screw; contoured acetabular buttress plates

Search for Related Literature

Powered by OrthoSearch - The British Editorial Society of Bone & Joint Surgery


#

Chip Routt

  • United States , Texas
  • Area of Specialty - Pelvis
  • Position - Specialist Consultant
#
Industry Sponsership

contact us for advertising opportunities


Peer Review Score

Average Score based on 0 reviews